What are the neuro-cognitive requirements involved
in early stone tools making and foraging strategies?
Which Pliocene and early Pleistocene hominins had these cognitive requirements?
Based on our previous results (Harmand et al., 2015), the Lomekwian and Oldowan differ in the complexity of action knapping, sequencing and hand manipulation, but also in the complexity of the cognitive processes involved, such as planning, executive control and working memory. In this new step, we would like to identify the neuro-cognitive processes involved in the different techniques of tool making (Lomekwian and Oldowan), and to infer the relative development of specific cerebral regions underlying these processes across modern primates and Pliocene and early Pleistocene hominins.
Identify the neuro-cognitive processes involved in the distinct techniques of tool making
The first objective is to identify the neuro-cognitive processes involved in the distinct techniques of tool making i.e. the pattern of brain activations during the tool production of the oldest hominin technologies (Lomekwian, Oldowan) (S. Bouret, L. Hugueville, A. Jalal, M. Brenet, S. Harmand, Master 2). As the cerebral organization is qualitatively similar among all the hominoid primates (including Pliocene hominins), we will use a modern human model (M. Brenet, INRAP) as an expert in replicating techniques. We will measure neuronal activity using EEG, which can be used during actual movement execution with a high temporal resolution. Spatio-temporal patterns of brain activity, in relation with specific task events, will enable us to identify the neuro-cognitive processes associated with distinct techniques.
Infer the relative development of neuro-cognitive processes (e.g. planning) in modern primates and hominins
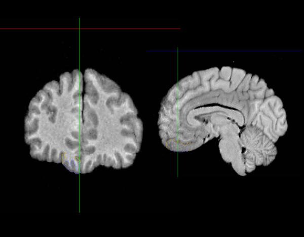
The second objective is to infer the relative development of neuro-cognitive processes (e.g. planning) underlying tool making and foraging strategies in modern primates and Pliocene and Pleistocene hominins, by comparing the relative size of the corresponding brain regions across species. Based on the literature and on our own work, we will focus on the dorso-lateral prefrontal cortex (DLPFC), on the ventromedial prefrontal cortex (VMPFC) and on the frontal pole (FP). We will compare the size of these regions across modern species (using anatomical MRI and CT scans), as well as hominins (using endocranial reconstructions). We will compare these data to socio-ecological data obtained from behavioral ecology and paleoecology (modern species and hominin respectively) (S. Bouret, C. Garcia, E. Gilissen, M. Louail, L. Castro, ANR Contract, S. Prat).
The EEG experiments are conducted with the CENIR (Centre de Neuro Imagerie de Recherche, Paris, http://www.cenir.org/), the imaging core facility of the Institut du Cerveau (ICM), under the coordination of S. Bouret and L. Hugueville. For anatomical studies, the accessible material includes IRM of primates brains and Ct-Scan of primates skulls from the MRAC collections (data E. Gilissen).
The study of the relation between the ventromedial prefrontal cortex and feeding ecology is linked with the project PrimEvoCog (Sorbonne Universités Idex SUPER / Programme Emergence PrimEvoCogSU-16-R-EMR-09-01: 2017-2018): resp. S. Bouret, C. Garcia and S. Prat.
Main collaborators
- Sébastien Bouret (CNRS, UMR 7225, ICM)
Cognitive Neuroscience, neurophysiology
Coordinator Task 4
Contact : sebastien.bouret@icm-institute.org - Sandrine Prat (CNRS, UMR 7194, HNHP)
Paleoanthropology
Coordinator Task 4
Contact : sandrine.prat@mnhn.fr - Michel Brenet (INRAP & UMR 5199, PACEA)
Archeology - Cécile Garcia (CNRS, UMR 7206, EA)
Primate ecology - Emmanuel Gilissen (Royal Museum for Central Africa, Tervuren, Belgium)
Neuroanatomy - Sonia Harmand (Stony Brook University &IFRA Nairobi, UMIFRE USR 3336 CNRS)
Archeology - Laurent Hugueville (INSERM/ CENIR/ICM)
Neurophysiology (EEG) - Amine Jalal (HOMTECH contract)
Neurophysiology (EEG) - Margot Louail (HOMTECH contract)
Neuroanatomy (3D reconstruction) - Lou Albessard (HOMTECH contract)
Neuroanatomy (3D reconstruction) - Laurie Castro (Master 2, Univ. Rennes1, UMR 7206, financement S.Bouret (UMR 7225))
Primate ecology and neuroanatomy



